자궁내막증 검사에 대한 오해와 진실: 진단으로 가는 길

자궁내막증 검사에 대한 오해와 진실: 진단으로 가는 길

이번 포스트에서는 자궁내막증 검사의 중요성, 주의해야 할 증상, 진단 여정에 대해 알아보도록 하겠습니다. 이 질환을 조기에 발견하는 방법을 확인해보세요. 자궁내막증 검사에 대한 오해와 진실 이번에는 중요하지만 자주 논의되지 않는 자궁내막증 검사에 대해 이야기해 보려고 합니다. 자궁내막증의 정의, 증상, 검사가 중요한 이유, 이용 가능한 검사 유형, 진단 과정에서 예상되는 사항 등을 자세히 설명해드리겠습니다. 복잡한 전문 용어 … 더 읽기

허리 통증 자연 치유를 위한 척추 도수 치료의 힘

허리 통증 자연 치유를 위한 척추 도수 치료의 힘

이번 포스트에서는 척추 도수 치료로 허리 통증을 자연스럽게 완화하는 방법을 알아보는 시간을 갖도록 하겠습니다. 이 포괄적인 가이드에서 기술과 이점에 대해 확인해보세요. 가치있는 척추 도수 치료의 힘 허리 통증 완화에 대한 매력적이고 자연스러운 접근 방식인 척추 도수 치료에 대해서 알아보도록 하겠습니다. 초보자를 위한 이 가이드에서는 척추 도수 치료의 복잡한 개념과 기술을 초등학생도 이해할 수 있는 간단한 … 더 읽기

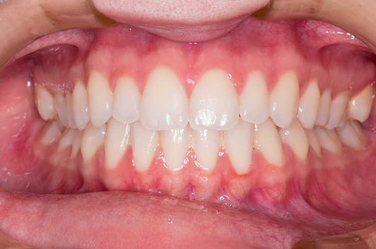
당신의 미소를 지키는 앞니 라미네이트가 중요한 이유

당신의 미소를 지키는 앞니 라미네이트가 중요한 이유

이번 포스트에서는 치아를 보호하는 데 있어 앞니 라미네이트의 중요성에 대해 알아보도록 하겠습니다. 작동 원리와 치아 건강에 중요한 이유를 확인해보세요. 앞니 라미네이트를 통한: 치아를 안전하게 지키기 어떻게 하면 치아를 튼튼하고 건강하게 유지하여 좋아하는 간식을 씹을 수 있는지 궁금한 적이 있으신가요? 이번에는 “앞니 라미네이트”에 대해서 알아보는 시간을 갖도록 하겠습니다. 아직 앞니 라미네이트가 무엇인지 잘 모르시더라도 걱정하지 마세요. … 더 읽기

귀 염증 원인 및 증상부터 치료, 턱과 두통의 연관성, 항생제 까지 요약 정리

귀 염증 원인 및 증상부터 치료, 턱과 두통의 연관성, 항생제 까지 요약 정리

귀 염증의 원인, 증상 및 치료 옵션에 대해 알아보세요. 턱 통증, 두통 및 항생제가 필요한 경우에 대해 알아보세요. 귀 염증에 대하여 이번에는 귀 염증에 대해서 알아보려고 합니다. 귀 염증의 원인, 은밀한 증상을 발견하는 방법, 최선의 치료 방법에 대해 알아볼 것입니다. 또한, 귀 염증과 턱 통증, 두통 사이의 예상치 못한 연관성, 그리고 항생제 사용 시기에 대해서도 … 더 읽기

귓볼 주름이 건강에 대해 무엇을 말하는지 아시나요? (치매,뇌졸중,없애는법 등)

귓볼 주름이 건강에 대해 무엇을 말하는지 아시나요?

이번 포스트에서는 귓볼 주름의 의미와 건강에 미치는 영향에 대해 알아보세요. 종합 가이드에서 귓불 주름의 의미와 치매,뇌졸중,없애는법 등을 살펴보세요. 귓볼 주름에 대하여 “귓볼 주름”이라는 흥미로운 주제에 대한 가이드에 오신 것을 환영합니다. 귓불을 가로지르는 미묘한 선이나 주름을 발견한 적이 있나요? 오늘 이 주제에 대해 이야기해 보겠습니다. 귓볼 주름이란 무엇인가요? 귓볼 주름을 둘러싼 미스터리에 대해 알아보기 전에 귓불 … 더 읽기

건강한 미소를 위한 잇몸 퇴축 치료의 효과적인 솔루션

건강한 미소를 위한 잇몸 퇴축 치료의 효과적인 솔루션

이번 포스트에서는 효과적인 잇몸 퇴축 치료 및 예방 팁을 알아보도록 하겠습니다. 이 종합 가이드에서 잇몸 퇴축의 원인과 증상에 대해 확인해보세요. 잇몸 퇴축 치료의 효과적인 솔루션 잇몸 퇴축 치료에 대한 시간을 가져보도록 하겠습니다. 잇몸이 뒤로 빠지는 것이 걱정되거나 이 치과 질환에 대해 궁금한 점이 있으시다면 제대로 찾아오셨습니다. 잇몸 퇴축의 원인부터 치료법까지 알기 쉬운 언어로 설명해드리겠습니다. 지금 … 더 읽기

싸리버섯 효능 및 부작용, 종류, 채취시기, 보관방법까지 한번에 정리요약

싸리버섯 효능 및 부작용, 종류, 채취시기, 보관방법까지 한번에 정리요약

이번 포스트에서는 싸리버섯 효능, 부작용, 종류, 채취시기, 보관방법에 대해서 알아보는 시간을 갖도록 하겠습니다. 싸리버섯에 대하여 싸리버섯에 대해 들어본 적이 있으신가요? 외형은 신기하다고 할수있지만, 실제로는 매우 흥미로운 버섯입니다. 이 글에서는 싸리버섯의 종류와 채취 기간부터 가장 좋은 보관 방법까지 싸리버섯에 대해 알아야 할 모든 것을 살펴도록 하겠습니다. 또한, 이 버섯의 효능과 잠재적인 부작용에 대해서도 간단하고 알기 쉽게 … 더 읽기

항문 주위 염증에 대한 이해: 원인, 증상 및 치료법

항문 주위 염증에 대한 이해: 원인, 증상 및 치료법

이번 포스트에서는 항문 주위 염증의 원인, 증상 및 치료 옵션에 대해 알아보도록 하겠습니다. 이 질환을 효과적으로 예방하고 관리하는 방법을 확인해보세요. 오늘은 그다지 재미있지 않은 주제인 항문 주위 염증에 대해 이야기해 보려고 합니다. 생소하지만 누구나가 격을수 있는 증상이기에 숙지하시면 좋은 내용이라 생각합니다. 항문 주위 염증이란 무엇인가요? 항문 주위 염증은 항문 주위가 붉어지고, 부어오르는 증상을 일컫는 용어입니다. … 더 읽기

뇌동맥류 공개: 원인 및 증상부터 수술 회복까지 완벽한 가이드

뇌동맥류 공개: 원인 및 증상부터 수술 회복까지 완벽한 가이드

이번 포스트에서는 뇌동맥류의 초기 증상, 원인 및 진단에 대해 알아보도록 하겠습니다. 수술 후유증과 회복을 위한 좋은 음식 선택의 중요성에 대해서도 확인해보세요. 뇌동맥류 원인 및 증상부터 회복까지의 안내서 뇌동맥류에 대한 종합 가이드에 오신 것을 환영합니다! 이 글에서는 초기 증상부터 원인, 진단, 수술 후 회복 과정까지 뇌동맥류에 대해 알아야 할 모든 것을 살펴볼 것입니다. 또한 이 과정에서 … 더 읽기

방사능 측정기(방사선 측정기) 부작용: 꼭! 알아야 할 사항

방사선 측정기 부작용: 꼭! 알아야 할 사항

이번 포스트에서는 방사선 측정기의 부작용, 효능 및 원리를 간단하게 설명합니다. 유해한 방사선 노출로부터 안전하게 지내는 방법을 확인해보세요. 방사선 측정기에 대하여 이번에는 방사선 측정기의 작동 원리부터 잠재적인 부작용에 이르기까지 모든 것을 탐구하면서, 좀더 자세히 알아보는 시간을 갖도록 하겠습니다. 초등학생부터 간단한 설명이 필요한 분까지 누구나 쉽게 이해할 수 있도록 준비했습니다. 방사선 측정기란 무엇인가요? 가이거 카운터라고도 하는 방사선 … 더 읽기