이번 포스트에서는 뇌동맥류의 초기 증상, 원인 및 진단에 대해 알아보도록 하겠습니다. 수술 후유증과 회복을 위한 좋은 음식 선택의 중요성에 대해서도 확인해보세요.

뇌동맥류 원인 및 증상부터 회복까지의 안내서
뇌동맥류에 대한 종합 가이드에 오신 것을 환영합니다! 이 글에서는 초기 증상부터 원인, 진단, 수술 후 회복 과정까지 뇌동맥류에 대해 알아야 할 모든 것을 살펴볼 것입니다.
또한 이 과정에서 좋은 음식 선택의 중요성에 대해서도, 모든 사람이 쉽게 이해할 수 있도록 설명합니다.
뇌동맥류란 무엇인가요?
뇌 혈관을 작고 유연한 튜브라고 상상해 보세요. 때때로 이러한 혈관에 약한 부분이나 부풀어 오른 부분이 생기는데, 이를 동맥류라고 합니다.
동맥류는 예기치 않게 터져 심각한 건강상의 합병증을 유발할 수 있다고 생각하시면 됩니다. 동맥류는 예고 없이 발생하여 생명을 위협하는 상황으로 이어질 수 있습니다.
뇌동맥류 초기 증상
뇌동맥류 초기 증상을 인식하는 것은 매우 중요합니다. 주의해야 할 몇 가지 일반적인 징후로는 심한 두통, 갑작스러운 시력 문제, 말하기 또는 말귀 알아듣기 장애 등이 있습니다. 본인이나 지인에게 이러한 증상이 나타나면 즉시 의사의 진료를 받는 것이 중요합니다.
원인 이해하기
뇌동맥류는 유전, 고혈압, 흡연, 심지어 두부 손상 등 다양한 요인으로 인해 발생할 수 있습니다. 이러한 원인을 이해하면 예방 조치를 취하는 데 도움이 될 수 있습니다.
예를 들어, 건강한 생활 습관을 유지하고 흡연을 피하면 동맥류 형성의 위험을 줄일 수 있습니다.
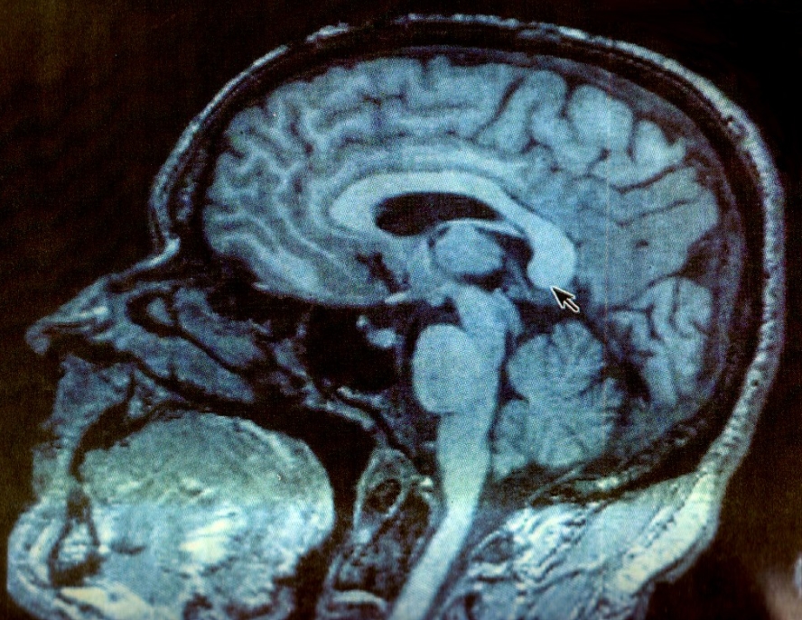
진단 과정
뇌동맥류 진단에는 일반적으로 일련의 의학적 검사가 포함됩니다. 의사는 CT 스캔 및 MRI와 같은 영상 기술을 사용하여 뇌의 혈관을 명확하게 파악할 수 있습니다.
이 과정은 치료 계획을 세우는 데 중요한 정보인 동맥류의 크기와 위치를 파악하는 데 도움이 됩니다.

뇌동맥류 검사: 기대할 수 있는 사항
뇌동맥류가 의심되는 경우 의사는 동맥류의 구조에 대한 더 자세한 정보를 제공하는 전문 검사인 혈관 조영술을 권할 수 있습니다. 혈관 조영술을 하는 동안 조영제를 혈관에 주입하여 의사가 동맥류를 정확하게 시각화할 수 있도록 합니다.
뇌동맥류 치료
이제 치료법에 대해 이야기해보겠습니다. 뇌동맥류가 있는 경우 의사가 도움을 줄 수 있는 두 가지 주요 방법이 있습니다.
- 수술적 치료: 의사는 동맥이 터지는 것을 막기 위해 동맥을 치료합니다. 이는 호스의 누출을 봉쇄하는 것과 같습니다.
- 혈관내 치료: 작은 튜브를 사용하여 혈관 내부의 기포에 도달하는 의사를 상상해 보세요. 그런 다음 코일과 같은 것을 내부에 넣어 거품을 차단하고 터지는 것을 방지할 수 있습니다.
회복 및 재활
치료 후에는 무릎이 아플 때와 마찬가지로 뇌도 치유될 시간이 필요합니다. 증상이 호전되기 위해서는 약을 복용하거나 치료를 받아야 할 수도 있습니다. 의사의 조언을 따르고 자신을 돌보는 것이 중요합니다.
뇌동맥류 수술 후유증
경우에 따라 뇌동맥류를 치료하기 위해 수술이 필요할 수 있습니다. 수술은 필요한 단계이지만 후유증에 대해 알고 있는 것이 중요합니다.
회복 기간 동안 환자는 피로, 두통, 기분 변화를 경험할 수 있습니다. 원활한 회복을 위해서는 지원 시스템을 마련하고 의사의 조언을 따르는 것이 중요합니다.
회복에 도움되는 뇌동맥류 좋은 음식
영양은 뇌동맥류 수술 후 치유 과정에서 중요한 역할을 합니다. 과일, 채소, 저지방 단백질을 충분히 섭취하는 균형 잡힌 식단을 구성하면 회복에 도움이 될 수 있습니다.
생선과 견과류에 함유된 오메가-3 지방산도 뇌 건강에 도움이 됩니다. 좋은 음식 선택은 신체 회복을 위한 빌딩 블록과 같다는 점을 기억하세요.
뇌동맥류 보험
뇌동맥류 보험의 중요성
본인 또는 사랑하는 사람이 갑자기 뇌동맥류라는 무서운 진단을 받게될경우, 정신적 스트레스와 함께 의료비가 쌓이기 시작합니다. 이때 뇌동맥류 보험이 안전망을 제공하기 위해 개입합니다.
뇌동맥류 보험은 진단, 치료 및 회복과 관련된 비용을 보장하도록 설계되었습니다. 가뜩이나 어려운 시기에 저축을 고갈시키거나 재정적 어려움에 직면하지 않도록 보장합니다.
뇌동맥류 보험 보장 유형
이제 뇌동맥류 보험이 필수적인 이유를 확인하셨으니, 어떤 유형의 보장이 있는지 살펴보겠습니다.
- 의료비 보장: 뇌동맥류와 관련된 치료, 수술 및 입원 비용을 보장합니다.
- 장애 보장: 뇌동맥류로 인해 일을 할 수 없는 경우, 장애 보장은 회복 기간 동안 재정적 지원을 제공합니다.
- 뇌동맥류 보장이 포함된 생명 보험: 이 유형은 최악의 상황이 발생하더라도 사랑하는 가족을 재정적으로 안전하게 보호합니다.
- 중대 질병 보장: 동맥류를 넘어 다른 중대한 질병까지 보장하여 더 광범위한 안전망을 제공합니다.
- 장기 간병 보장: 장기 간병이 필요한 경우 이 보험을 통해 요양원 또는 재택 간병 비용을 보장받을 수 있습니다.
뇌동맥류 보험에 대해서 자주 묻는 질문
뇌동맥류 보험에 대한 몇 가지 일반적인 질문에 대해 답변해 드리겠습니다.
Q1. 뇌동맥류 보험은 비싼가요?
A1. 비용은 나이, 건강 및 보장 금액과 같은 요인에 따라 달라집니다. 자신의 예산에 맞는 플랜을 찾는 것이 중요합니다.
Q2. 이미 동맥류가 있는 경우에도 뇌동맥류 보험에 가입할 수 있나요?
A2. 가능하지만 보장 범위가 제한될 수 있습니다. 보험 제공자와 상담하여 옵션을 확인하는 것이 가장 좋습니다.
Q3. 뇌동맥류가 드물다면 뇌동맥류 보험에 가입할 가치가 있나요?
A3. 물론입니다! 드물기는 하지만 뇌동맥류는 삶을 바꿀 수 있는 질환입니다. 보험은 재정적 안정과 마음의 평화를 제공합니다.
한부모가구 및 사회 취약계층을 위한 정부지원 소액보험(한부모 가정 의료보험)
글을 마치며
결론적으로, 뇌동맥류의 초기 증상부터 원인, 진단, 회복 과정에 이르기까지 뇌동맥류를 이해하는 것은 모든 사람에게 필수적입니다.
또한, 회복 과정에서 좋은 음식을 선택하는 것의 중요성에 대해서도 이제 알게 되었습니다. 이러한 요인을 인식함으로써 뇌 건강과 웰빙을 유지하기 위한 사전 조치를 취할 수 있습니다.
건강이 최우선이며, 조기 발견이 모든 차이를 만들 수 있다는 점을 항상 기억하세요. 정보를 얻고 건강을 유지하시기를 바라겠습니다!