맨발걷기효능 및 부작용, 방법-발 밑의 땅을 느껴보세요

맨발걷기효능 및 부작용, 방법

이번 포스트에서는 맨발걷기효능 및 부작용, 방법 등에 대해서 알아보도록 하겠습니다. 이미 맨발걷기운동을 하고 계시거나, 앞으로 시도할 예정이신 모든 분들에게 도움이되는 글 입니다. 맨발걷기효능에 대하여 모래사장이나 푸른 잔디 위를 맨발로 걷는 즐거움을 경험해 본 적이 있으신가요? 지구와 몸을 맞닿는 이 간단한 행위가 전반적인 건강에 놀라운 영향을 미칠 수 있다는 사실이 밝혀졌습니다. 맨발로 걷기, 즉 접지 걷기는 … 더 읽기

비건뜻에서 시작해서 종류, 음식, 단계까지

비건뜻에서 시작해서 종류, 음식, 단계까지

이번 포스트에서는 비건뜻에서 시작해서 종류, 음식, 단계까지 이르는 한눈에 확인할수있는 정보들을 모아놓았습니다. 비건을 실행중이시거나, 앞으로 실행예정이신 모든 분들에게 도움이 될것이라 생각합니다. 비건뜻에 대해서 비건뜻은 고기, 생선, 우유, 계란 등의 동물성 식품을 섭취하지 않는 삶을 추구하는 사람들을 말합니다. 이러한 삶을 추구하는 이유로는 동물 복지, 환경 문제, 건강 문제 등이 있습니다. 동물 복지 문제에서는 많은 동물들이 죽음으로써 … 더 읽기

폐결절 원인부터 증상, 통증, 폐암 확률까지의 진실을 아시나요?

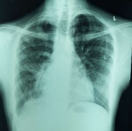
폐결절 원인부터 증상, 통증, 폐암 확률

이번 포스트에서는 폐결절 원인부터 증상, 통증, 예방법, 좋은 음식, 폐암 확률까지의 내용을 정리해 보았습니다. 증상을 앓고 계시거나, 예방을 위한 모든 분들에게 도움이 되기를 바라겠습니다. 폐결절에 대하여 폐결절은 폐조직 내에서 발견되는 약 3cm 미만의 작은 결절이며 대개 양성 종양입니다. 폐 결절은 증상 없이 발견되는 경우가 많고, 일부 사례는 천천히 진행되는 폐암의 초기 단계가 될 수도 있습니다. … 더 읽기

식염포도당 효능 및 부작용(주의사항),당뇨 와 제품 추천외 복용법

식염포도당 효능 및 부작용

이번 포스트에서는 식염포도당의 효능 및 부작용(주의사항),당뇨와의 상관관계 제품 추천외 복용법까지 한눈에 정리해서 알아보도록 하겠습니다. 섭취중이시거나, 섭취예벙이신 모든분들에게 도움이 되기를 바라겠습니다. 식염포도당에 대하여 “식염포도당” 이라고 하는 염화나트륨과 포도당 혼합물은 의료 환경에서 다양한 목적으로 사용되는 멸균 정맥주사(IV) 용액입니다. 이 용액은 포도당과 염화나트륨이라는 두 가지 중요한 성분의 조합입니다. 포도당(글루코스) 포도당은 신체 세포의 에너지원으로 사용되는 단당류(포도당)입니다. 정맥으로 투여하면 경구로 … 더 읽기

신경섬유종 원인, 증상 및 좋은 음식 확인해보세요~

신경섬유종 원인, 증상 및 좋은 음식

이번 포스트에서는 신경섬유종의 원인, 증상 및 좋은 음식 등을 한눈에 확인해보도록 하겠습니다. 이글을 통해 도움이 되시길 바라겠습니다. 신경섬유종에 대하여 신경섬유종은 중추신경계의 선상에서 발생하는 양성종이며, 신경 섬유 성장을 촉진하는 인자들과 수용체 유전자의 변이 등이 원인이 될 수 있습니다. 이 종양은 일반적으로 뇌의 껍질 영역과 연관되어 있으며, 상대적으로 드문 종양으로 분류됩니다. 신경섬유종이 발생하면 뇌 기능에 영향을 미치는 … 더 읽기

편도부었을때 원인, 증상, 예방 및 좋은 음식 한눈에 보기

편도부었을때 원인, 증상, 예방 및 좋은 음식 한눈에 보기

이번 포스트에서는 편도부었을때의 원인, 증상, 예방 및 좋은 음식 등을 보기쉽게 정리해 놓았습니다. 증상을 앓고 계시거나, 예방을 위한 모든 분들에게 도움이 되기를 바라겠습니다. 편도부었을때에 대하여 편도가 부었을 때에는 편도 내부에 있는 점막이 염증을 일으켜 부어오르기 때문에, 편도 안팎으로 기압 차이를 갖게 됩니다. 이로 인해 귀에서 압력을 느끼거나, 귀 속에서 비명 소리나 지지력을 느끼는 경우가 있습니다. … 더 읽기

우울증의 원인부터 다양한 증상 및 예방을 위한 추천 영양제까지

우울증의 원인부터 다양한 증상 및 예방을 위한 추천 영양제까지

이번 포스트에서는 우울증의 원인부터 다양한 증상 및 예방을 위한 추천 영양제까지 한눈에 확인해 보도록 하겠습니다. 이글이 증상을 앓고 계시거나, 예방을 위한 모든 분들에게 도움이 되기를 바라겠습니다. 우울증에 대하여 우울증은 일상생활에서 일어나는 일에 대한 적절한 대처를 오랫동안 할 수 없는 상태로, 슬픔, 무력감, 기쁨 잃음, 희망lessness, 밥울듯한 시각과 사고와 같은 증상을 보이는 것입니다. 이러한 증상이 지속되면 … 더 읽기

콤부차 효능 및 주의사항에서부터 제품추천까지

콤부차 효능 및 주의사항에서부터 제품추천

이번 포스트에서는 콤부차의 효능 및 주의사항에서부터 제품추천까지 한눈에 알아보도록 하겠습니다. 이글은 콤부차를 섭취하고 계시거나, 섭취할 예정이신 모든 분들에게 도움이 될것이라 생각합니다. 콤부차에 대하여 콤부차는 중국의 전통 차 중 하나로, 보통은 녹차에 로즈힙, 장미, 국화, 상록 등의 꽃잎, 그리고 설탕이나 꿀 등을 첨가하여 달콤하고 향긋한 차입니다. 특히나 로즈향이 강해서 여성들 사이에서 인기가 높습니다. 콤부차는 건강에도 좋은데, … 더 읽기

콜라겐 효능 및 주의사항 그리고 제품추천까지 한눈에 보기

콜라겐 효능 및 주의사항

이번 포스트에서는 콜라겐의 효능 및 주의사항 그리고 제품추천까지 한눈에 확인해 보도록 하겠습니다. 이미 복용중이시거나, 복용예정이신 모든분들에게 도움이 되시길 바랍니다. 콜라겐에 대하여 콜라겐은 우리 몸 내부에서 가장 흔하게 나타나는 탄닌질 단백질 중 하나입니다. 주로 피부, 뼈와 연골, 인대 등에 존재하며, 섬유재질과 같은 역할을 하는 섬유구조 단백질로서, 조직의 유지와 탄력성 유지에 큰 영향을 미칩니다. 또한, 혈관, 조직, … 더 읽기

오메가3 효능 및 제품추천 그리고 섭취시 주의사항

오메가3 효능 및 제품추천 그리고 섭취시 주의사항

오메가3는 오늘날 우리 현대인들에게 없어서는 안되는 삶의 필수 품목이 되었습니다. 그만큼 효능 및 가격 적인 측면에서도 더욱 다양하고 영양소가 풍부하게 출시되고 있는데요. 오늘은 오메가3 추천제품 소개와 함께 구매 가이드를 알려드리겠습니다. 오메가3란 무엇인가요? 오메가 3는 지방산의 한 종류로, 우리 몸에 필요한 지방산 중 하나입니다. 주로 물고기 기름에서 분리하여 섭취합니다. 오메가 3는 심장 건강에 도움이 되며, 뇌 … 더 읽기