만성 폐쇄성 폐질환 천식 관리하기:원인, 증상 및 대처하기

만성 폐쇄성 폐질환 천식 관리하기:원인, 증상 및 대처하기

이번 포스트에서는 (COPD)만성 폐쇄성 폐질환 천식이 삶에 어떤 영향을 미치는지 알아보도록 하겠습니다. 이 종합 가이드에서 증상, 원인 및 효과적인 관리에 대해 확인해보세요. 만성 폐쇄성 폐질환 천식 관리하기 호흡은 우리가 아무 생각 없이 하는 일입니다. 하지만 일부 사람들에게는 만성 폐쇄성 폐질환(COPD) 및 천식과 같은 질환으로 인해 호흡이 정말 힘들어질 수 있습니다. 이 두 가지 호흡기 질환은 … 더 읽기

잇몸병에 관한 모든 것: 증상, 종류, 원인, 치료, 자연 치유, 예방까지 한번에 정리

잇몸병에 관한 모든 것: 증상, 종류, 원인, 치료, 자연 치유, 예방까지 한번에 정리

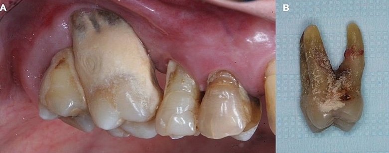
이번 포스트에서는 잇몸병 증상, 종류, 원인, 치료, 자연 치유 및 예방에 대해 알아보도록 하겠습니다. 잇몸을 자연스럽게 건강하게 유지하는 방법을 알아보세요. 잇몸병에 관한 모든 것 양치질이 왜 그렇게 중요한지 궁금한 적이 있으신가요? 글쎄요, 그것은 단지 진주처럼 하얀 치아를 갖는 것만이 아닙니다. 잇몸을 튼튼하고 건강하게 유지하기 위해서도 중요합니다! 이번 글에서는 잇몸 질환에 대해 자세히 알아보고자 합니다. 잇몸 … 더 읽기

당신의 아름다움을 받아들이세요: 낮은 콧대를 높이는 방법

당신의 아름다움을 받아들이세요: 낮은 콧대를 높이는 방법

이번 포스트에서는 낮은 콧대를 높이고 얼굴 프로필을 향상시키는 효과적인 기술을 알아보도록 하겠습니다. 이 간단한 전략으로 자신감을 높여보세요!! 낮은 콧대 높이고, 아름다움 받아들이기 이번 글에서는 “낮은 콧대 높이기”라는 매혹적인 컨셉으로 얼굴 프로필을 향상시키는 비밀을 발견하기 위한 시간을 가져보도록 하겠습니다. 자신감을 높이고, 외모에 대한 자신감을 높일 수 있는 간단하면서도 효과적인 방법에 대해 궁금해하신 적이 있다면 제대로 찾아 … 더 읽기

주근깨와 잡티: 원인, 제거 및 레이저에 대한 가이드

주근깨와 잡티: 원인, 제거 및 레이저에 대한 가이드

이번 포스트를 통해 주근깨와 잡티의 원인에 대해 알아보고 효과적인 레이저 제거 솔루션을 찾아보세요. 주근깨와 잡티, 제거에 대하여 흔히 주근깨와 잡티로 알려진 피부의 성가신 작은 반점에 지치셨나요? 잘 찾아오셨습니다. 이번 글에서는 스킨케어에 한 단락으로 주근깨와 잡티가 무엇인지, 그리고 원인과 함께 레이저 제거라는 놀라운 해결책에 대해 자세히 알아볼 것입니다. 그러면 이제부터 무결점 피부를 느낄수 있도록, 원치 않는 … 더 읽기

당신의 독특함을 포용하세요: 매부리코의 아름다움에 대한 찬사

당신의 독특함을 포용하세요: 매부리코의 아름다움에 대한 찬사

이번 포스트에서는 매부리코의 흥미로운 의미와 휜 코가 인식에 미치는 영향에 대해 알아보도록 하겠습니다. 최신 기사에서 코의 역사, 문화적 의미, 매력에 대해 확인해보세요. 매부리코에 대하여 코가 휘어진 사람을 보고 그 사람의 성격에 대해 궁금한 적이 있으신가요? 코는 단순한 얼굴 특징이 아니라 우리 자신과 타인을 인식하는 방식에 영향을 줄 수 있는 풍부한 역사, 문화, 상징성을 지니고 있습니다. … 더 읽기

성공적인 경험을 위한 성형외과 상담 시 20가지 주의사항

성공적인 경험을 위한 성형외과 상담 시 20가지 주의사항

이번 포스트에서는 성형외과 상담 시 주의해야 할 20가지 중요한 사항에 대하서 알아보도록 하겠습니다. 참고로 하시되 전문가의 조언을 최우선으로 하시어 도움이 되기를 바라겠습니다. 성형외과 상담 시 20가지 주의사항 성형수술을 받기로 결정하는 것은 자신감을 높이고 원하는 외모를 얻기 위한 중요한 단계입니다. 이 여정에서 중요한 단계는 성형외과 전문의와의 상담입니다. 충분한 정보를 얻고 준비할 수 있도록 성형외과 상담 시 … 더 읽기

자신감을 가져라: 콧볼을 축소하고 자존감을 높이는 방법

자신감을 가져라: 콧볼을 축소하고 자존감을 높이는 방법

이번 포스트에서는 콧볼을 축소하고 자신감을 높이는 효과적인 방법에 대해 알아보도록 하겠습니다. 이 종합 가이드에서 콧볼의 크기를 줄이는 방법을 확인해보세요. 콧볼을 축소하고 자존감을 높이는 방법 콧볼의 크기를 바꿀 수 있는지 궁금한 적이 있으신가요? 콧구멍 크기 축소에 대해서 알아보는 시간을 갖도록 하겠습니다. 콧구멍 크기에 대한 과학적 이해부터 비침습적 및 수술적 방법까지 다양한 방법을 살펴보고, 외모에 대한 정보에 … 더 읽기

잇몸 병 치료 방법: 효과적인 가정 요법 및 예방

잇몸 병 치료 방법: 효과적인 가정 요법 및 예방

이번 포스트에서는 효과적인 가정 요법과 예방 기술로 잇몸 병 치료 방법을 알아보도록 하겠습니다. 이 종합 가이드에서 건강한 잇몸을 위한 자연 치료법을 확인해보세요. 잇몸 병 치료 방법에 대하여 잇몸 병은 말 그대로 정말 고통스러울 수 있습니다. 하지만 걱정하지 마세요. 이 문제를 정면으로 해결할 수 있도록 도와드리겠습니다. 이 가이드에서는 잇몸 병의 원인과 증상부터 치료 및 예방을 위해 … 더 읽기

모래시계 증후군이 여러분의 발목을 잡지 않도록 하세요: 원인 및 증상과 전략 살펴보기

모래시계 증후군이 여러분의 발목을 잡지 않도록 하세요: 원인 및 증상과 전략 살펴보기

모래시계 증후군의 원인, 증상, 효과적인 해결 방법 등 자세히 알아보세요. 이 흔한 문제로 인해 업무에 지장을 받지 마세요. 자세히 알아보세요! 모래시계 증후군에 대하여 인생은 도전으로 가득하며, 그 중 일부는 예상치 못한 형태로 다가오기도 합니다. 이러한 도전 중 하나가 바로 수수께끼 같은 “모래시계 증후군”입니다. 모래시계 증후군에 대해 들어본 적이 없더라도 걱정하지 마세요. 이 글에서는 모래시계 증후군이 … 더 읽기

당황하지 마세요! 공황장애 심장마비 차이점을 구분하는 방법

당황하지 마세요! 공황장애 심장마비 차이점을 구분하는 방법

이번 포스트에서는 공황장애 심장마비를 구별하는 방법을 알아보도록 하겠습니다. 증상과 원인을 이해하고 건강에 대한 명확한 통찰력을 얻으시기 바랍니다. 공황장애 심장마비에 대하여 누구나 심장이 두근거리는 것을 느끼거나 극심한 공포의 순간을 경험한 적이 있지만, 그것이 공황장애인지 심장마비인지 어떻게 알 수 있을까요? 두 질환의 차이점을 이해하면 말 그대로 생명의 은인이 될 수 있습니다. 이 글에서는 공황장애 심장마비를 구분하여 각자의 … 더 읽기