담낭 용종의 원인, 증상, 진단 및 치료 방안(자연치유), 커피 섭취 등 담낭 용종에 대해 알아보는 시간을 갖도록 하겠습니다. 효과적인 건강 관리에 대한 인사이트를 확인해 보세요.
담낭 용종에 대하여

이번에는 복잡하게 들릴 수 있는 담낭 용종이라는 용어를 모든 독자분들이 이해하기 쉽도록 설명해드리겠습니다.
담낭 용종이 무엇인지, 왜 중요한지, 건강하고 행복한 삶을 위해 어떻게 몸을 관리할 수 있는지 알아보겠습니다. 그럼 지금부터 시작하겠습니다.
담낭 용종이란 무엇인가요?
담낭은 우리 몸이 음식을 소화하는 데 도움을 주는 작은 주머니라고 생각하면 됩니다. 그런데 때때로 이 주머니 안에 작은 성장이 생길 수 있습니다.
이러한 성장을 담낭 용종이라고 합니다. 담낭 용종은 모래알처럼 작거나 조금 클 수 있으며, 대부분의 용종은 무해하지만 일부는 건강 문제를 일으킬 수 있습니다. 계속해서 알아보겠습니다.
일반적인 증상
몸에 무언가 잘못되었을 때 울리는 작은 알람이 있다고 상상해 보세요. 담낭 용종이 있는 일부 사람들은 특히 오른쪽 배에 통증을 느낄 수 있습니다.
다른 사람들은 메스꺼움이나 복부 팽만감을 경험할 수 있는데, 이는 배가 꽉 차고 팽팽하게 느껴지는 증상입니다. 이러한 증상이 나타나면 몸에 주의를 기울이라는 신호와 같습니다.

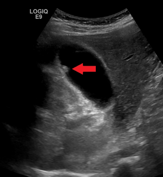
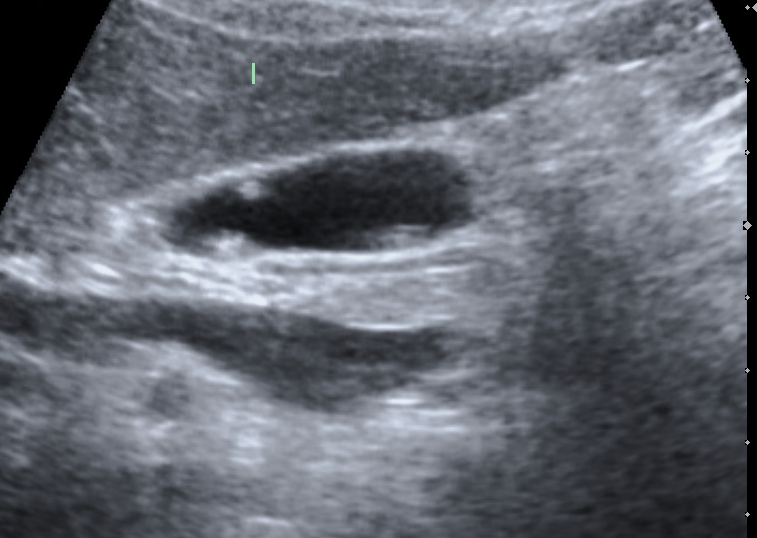
담낭 용종 진단하기
탐정이 수수께끼를 푸는 것처럼 의사도 담낭 용종이 있는지 알아낼 수 있는 방법이 있습니다.
의사는 초음파 기계와 같은 도구를 사용할 수 있는데, 이는 신체 내부를 사진으로 찍는 것과 같습니다. 이를 통해 담낭에 용종이 있는지 확인할 수 있습니다.

원인
이제 용종이 왜 생기는지 궁금하실 것입니다. 이는 자연이 알아서 하는 일과 비슷하며 때로는 누구의 잘못도 아닙니다.
그러나 나이가 많거나 담낭 용종의 가족력이 있는 경우와 같이 특정 요인이 담낭 용종의 발생 가능성을 높일 수 있습니다. 우리 몸은 독특하며 때때로 이러한 일이 발생할 수 있다는 점을 기억하세요.
치료 방안
의사가 검진 중에 작은 용종을 발견하면 그냥 지켜볼 수도 있습니다. 의사는 용종이 문제를 일으키지 않도록 주의 깊게 지켜보는 후견인을 두는 것과 비슷합니다.
하지만 용종이 너무 커지거나 불편함을 느끼는 등 문제를 일으키기 시작하면 의사는 수술을 통해 용종을 제거할 것을 제안할 수 있습니다.
몇가지 자연치유 방법
생활 습관 수정
- 건강한 식단: 과일, 채소, 통곡물, 저지방 단백질, 건강한 지방이 풍부한 식단을 섭취하면 전반적인 담낭 건강에 도움이 될 수 있습니다. 이러한 식품에는 영양소와 항산화 물질이 풍부하여 신체의 자연 치유 과정을 지원할 수 있습니다.
- 수분을 충분히 섭취하세요: 물을 충분히 마시면 담낭 기능에 필수적인 담즙 생산과 흐름을 최적으로 유지하는 데 도움이 됩니다. 수분 섭취는 담석 형성을 예방하는 데도 도움이 됩니다.
- 건강한 체중을 유지합니다: 과체중이나 비만은 담낭 문제의 위험을 높입니다. 규칙적인 신체 활동을 하고 건강한 체중을 유지하면 이러한 위험을 줄일 수 있습니다.
식단 조절
- 포화 지방 제한: 포화 지방을 많이 섭취하면 담석 형성에 기여할 수 있습니다. 올리브 오일, 아보카도, 견과류에 함유된 지방과 같은 건강한 지방을 섭취하면 도움이 될 수 있습니다.
- 식이섬유가 풍부한 식품: 통곡물, 콩류, 채소 등 식이섬유가 풍부한 식품은 소화를 조절하고 담낭 문제를 예방하는 데 도움이 될 수 있습니다.
- 허브 차: 민들레 뿌리 차나 카모마일 차 같은 특정 허브 차는 전통적으로 담낭 건강에 도움이 되는 차로 사용되어 왔습니다. 그러나 허브 요법을 사용하기 전에 반드시 의료 전문가와 상담하는 것이 중요합니다.
대체 요법
- 침술: 침술은 고대 중국에서 행해지던 치료법으로, 가느다란 바늘을 신체의 특정 혈자리에 삽입하는 것입니다. 일부 사람들은 침술이 에너지 흐름을 개선하고 담낭 건강을 증진하는 데 도움이 될 수 있다고 믿습니다.
- 허브 보충제: 밀크씨슬이나 오메가3, 강황과 같은 특정 허브는 담낭 기능에 도움이 될 수 있는 항염증 및 해독 작용을 하는 것으로 알려져 있습니다. 다른 보충제와 마찬가지로 의료 전문가와 상담하는 것이 중요합니다.
- 심신 기법: 스트레스는 담낭을 포함한 전반적인 건강에 영향을 미칠 수 있습니다. 명상, 심호흡, 요가와 같은 수련은 스트레스를 관리하고 웰빙을 증진하는 데 도움이 될 수 있습니다.
예방 조치
우리 몸이 건강하게 유지되도록 도울 수 있다면 정말 멋지지 않을까요? 물론 가능합니다! 맛있는 과일과 채소를 먹고, 활동량을 늘리고, 물을 많이 마시는 것은 우리 몸에 슈퍼파워와도 같습니다.
이러한 식습관은 용종이 생길 확률을 줄이는 데 도움이 됩니다. 정말 대단하지 않나요?
커피 섭취와의 상관관계
커피 섭취와 담낭 건강의 관계는 긍정적인 영향과 부정적인 영향을 모두 포함하는 복잡한 관계입니다.
긍정적인 측면
- 담석 위험 감소: 일부 연구에 따르면 적당한 커피 섭취는 담낭 용종과 관련이 있을 수 있는 담석의 위험을 낮출 수 있다고 합니다. 커피가 신진대사와 담즙 분비에 미치는 영향이 이러한 보호 효과에 기여할 수 있습니다.
- 항염증 특성: 커피에는 잠재적인 항염 작용을 하는 생리 활성 화합물이 함유되어 있습니다. 염증은 용종 형성을 포함한 담낭 문제와 관련이 있습니다. 커피의 항염증 효과는 담낭 건강에 간접적으로 도움이 될 수 있습니다.
부정적인 측면
- 콜레스테롤 및 담즙산: 커피는 담낭에 저장되는 소화액인 담즙의 구성에 영향을 미칠 수 있습니다. 커피의 특정 화합물은 콜레스테롤과 담즙산의 용해도에 영향을 미쳐 담석의 발생을 촉진할 수 있습니다.
- 카페인 함량: 커피의 주요 성분인 카페인은 담낭의 수축을 자극할 수 있습니다. 담낭 용종이 크거나 담낭 질환이 있는 사람은 카페인을 과도하게 섭취하면 불편함이나 합병증을 유발할 수 있습니다.
위장 아플때-복통 때문에 하루를 망치지 마세요!(위통증,원인, 치료 및 예방)
글을 마치며
지금까지 담낭 용종이 무엇인지, 어떻게 발견하는지, 그리고 담낭 용종을 예방하는 몇 가지 방법까지 배웠습니다. 몸을 돌보는 것은 소중한 보물을 돌보는 것과 같다는 사실을 항상 기억하세요.
그러니 꾸준한 예방과 관리로 건강한 라이프스타일을 유지하세요!